GDPLANT DENTAL CLINIC
결과로 증명하는 임상
수술에 대한 두려움, 기간, 실패에 대한 걱정까지.
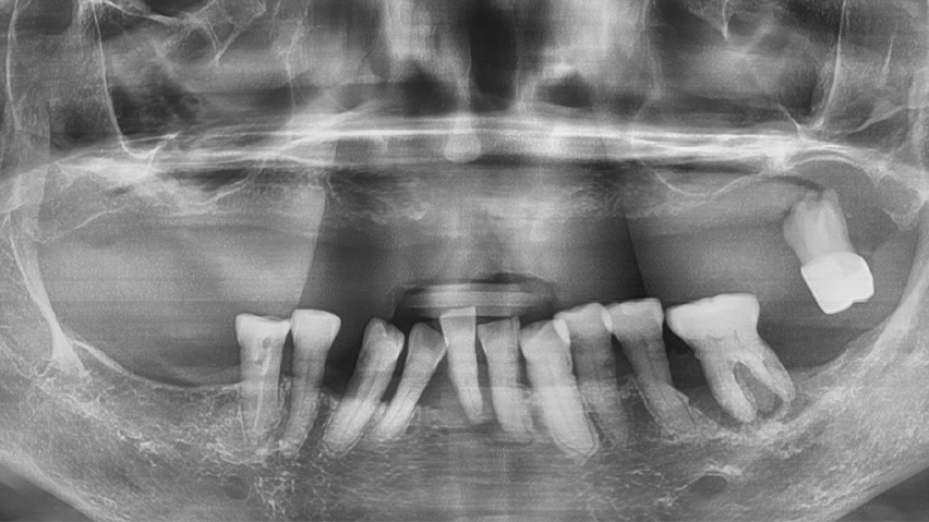
상황에 맞는 개별 맞춤 임플란트

GDPLANT DENTAL CLINIC
SPECIAL MEDICAL STAFF
숙련된 의료진,
수준높은 치료를 추구합니다.
치위생사
진료팀원내 디지털
전문 기공사전문
소독 인력
20년간의 오랜 경험에 안주하지 않고 늘 새롭게 연구하고 고민해야만, 환자 한분 한분의 상황에 가장 적합하고 안전한 임플란트 치료를 제공할 수 있습니다. 그래서 치료를 넘어 사람을 먼저 생각한다는 원칙을 꼭 지켜나가겠습니다.
대표원장 약력
- 일본악교합학회 인정의 / 대한턱관절교합학회 인정의
- 대한통합치의학회 통합치의학 치과전문의 / 대한구강악안면임플란트학회 우수회원
- 카톨릭대 임상치과학대학원 치과교정학과 수료 (석사 학위)
- 한림대 임상치과학대학원 구강보건의료학과 겸임교수
- SKCD 치과임상연구회 정회원(2기 수료)
- KOCO 대한순응교합연구회 정회원(1기 수료)
- TOP 치과임상연구회 Active Member(회장)
- 번역서)Single Crown Provisional Restoration/교합조정 테크닉/Tooth Preparation/
- Biological Crown Contour/치관수복치료의 Technical Requirement
GDPLANT DENTAL CLINIC
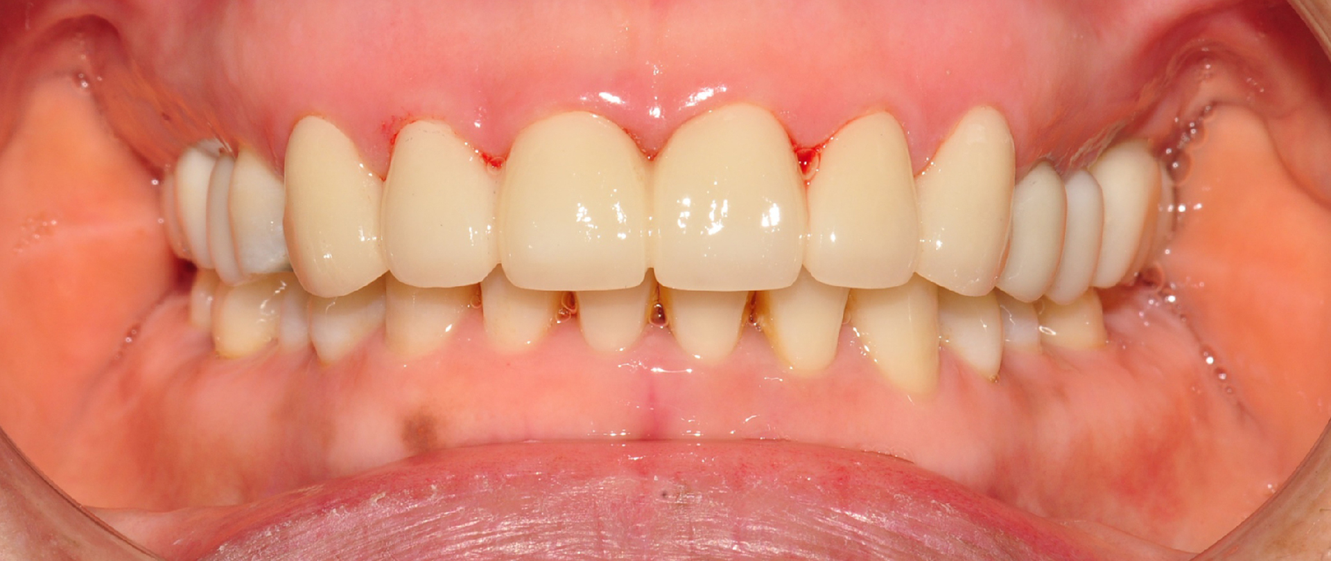
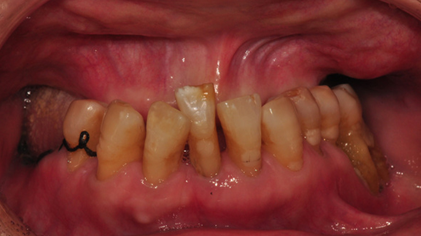
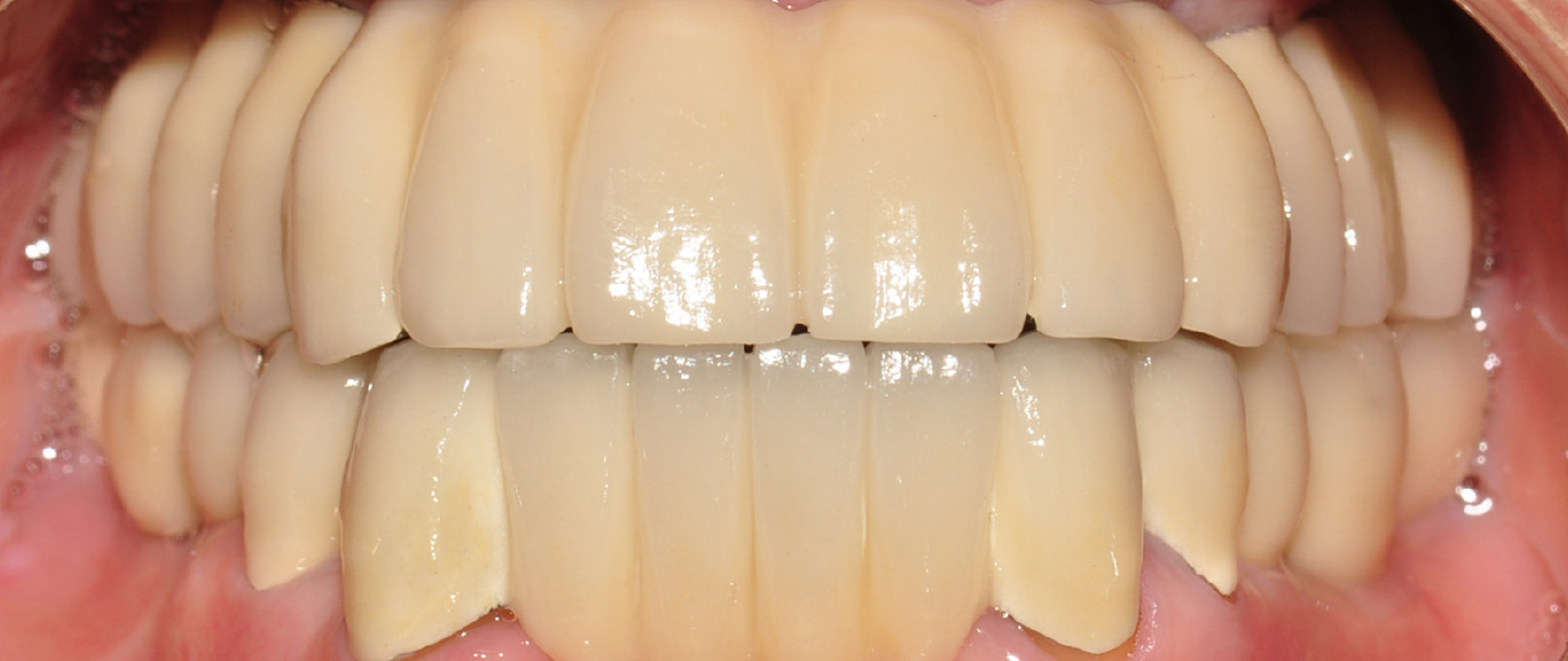
치아만 치료하는 진료는
이제그만?
포괄적 치과치료-얼굴과 전신겅강까지 생각하는 치과치료
01
고객의 마음을 헤아리는 치과

개개인마다 다른치아를 위한 맞춤 진료
1:1 맞춤 치과 치료의 새로운 기준을 제시합니다.
02
실력을 검증 받은, 꾸준히 노력하는 의료진

치과전문의, 교합학회 인정의, 임플란트 학회 우수임상의
임플란트 제조사 초청강연&다수 논문 및 확회 경험
대표원장이 직접, 처음부터 끝까지 책임지는 전담주치의
03
철저한 감염관리 및 멸균 시스템

대학병원급 소독 프로토콜로 안전한 진료를 약속합니다.
04
첨단 장비 시스템

치료 결과를 미리 보는 AI시대
3차원 스캔으로 치료 전후를 먼저 확인합니다.
05
치아만 보는 진료는 그만

지디플란트치과는 얼굴과 전신건강까지 생각하는 치과입니다.
06
사후관리

치료 이후에도 지속적인 관리와 맞춤 케어
평생 건강한 구강 상태를 책임집니다.

02. 2066. 7528
경기도 광명시 오리로 856
한복빌딩 4층
-
월,목,금
오전 10:00 - 오후 06:30 (평일진료)
-
수요일
오전 10:00 - 오후 08:30 (야간진료)
-
점심시간
오후 01:00 - 오후 02:00
-
토요일
오전 10:00 - 오후 02:00 점심시간 없음
목,일요일 공휴일 휴진